Échographie pour Tous
Facile à utiliser, Clarius amène l'échographie là où elle n'a jamais été – mais devrait l'être.


Précision Ultra-Rapide, Sur Place
Améliorez vos analyses et prenez des décisions cliniques en toute confiance en une seule visite. Scannez, diagnostiquez et agissez—sans envoyer les patients ailleurs.
Technologie intelligente intégrée dans chaque scanner.
Simplifiez le balayage, améliorez la précision et accélérez les décisions—pour que vous puissiez prodiguer des soins plus rapidement et plus confiant.
Échographie rendue compréhensible.
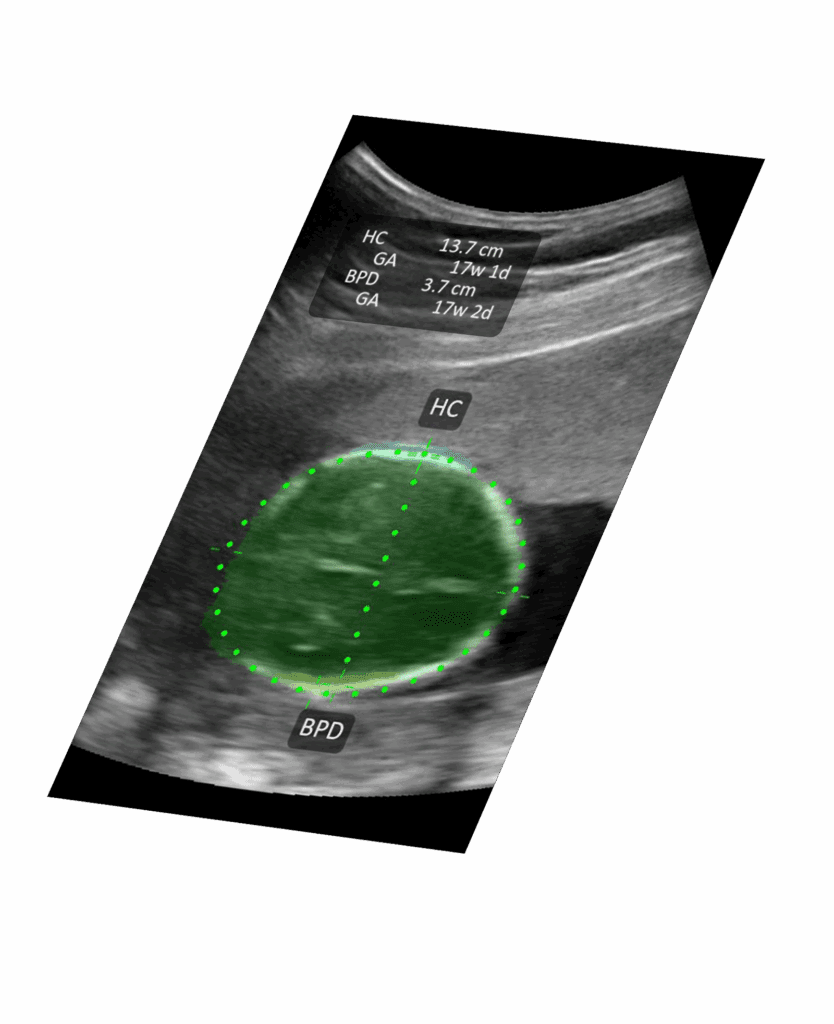
Mode-T™ enseigne pendant que vous scannez. Voyez instantanément l'anatomie étiquetée, pour que même les utilisateurs novices puissent interpréter les images et prendre des décisions en toute confiance.


Accélérez l'Apprentissage
Les structures anatomiques clés sont automatiquement mises en évidence et étiquetées pour réduire le temps d'interprétation.


Workflow Rationalisé
Clarius Intelligence combine des outils intelligents et l'automatisation pour rationaliser le balayage et vous permettre de rester concentré sur votre patient.


Reconnu Mondialement.
Soutenu par l'Expérience.
Images et
Intelligence à Emporter
Votre téléphone et Clarius sont tout ce dont vous avez besoin pour emporter la puissance de l'échographie partout où vous allez.
Apprenez en Toute Confiance. Grandissez avec l'Expérience.





Novice
Imagerie Point and Shoot
Commencez à scanner instantanément avec des préréglages automatisés et des commandes intuitives.
Débutant
Apprenez avec le Mode-T
Comprenez l'anatomie en temps réel avec une visualisation des tissus en couches.
Intermédiaire
IA pour Rationaliser
Accélérez les workflows avec l'automatisation intelligente et le guidage des aiguilles.
Avancé
Imagerie & Mesures Améliorées
Débloquez la précision avec des outils avancés pour les mesures, annotations et rapports.
Expert
Préréglages d'Imagerie Entièrement Personnalisables
Ajustez finement chaque paramètre pour correspondre à vos préférences d'imagerie exactes et besoins cliniques.